news
發布時間:2021-03-30
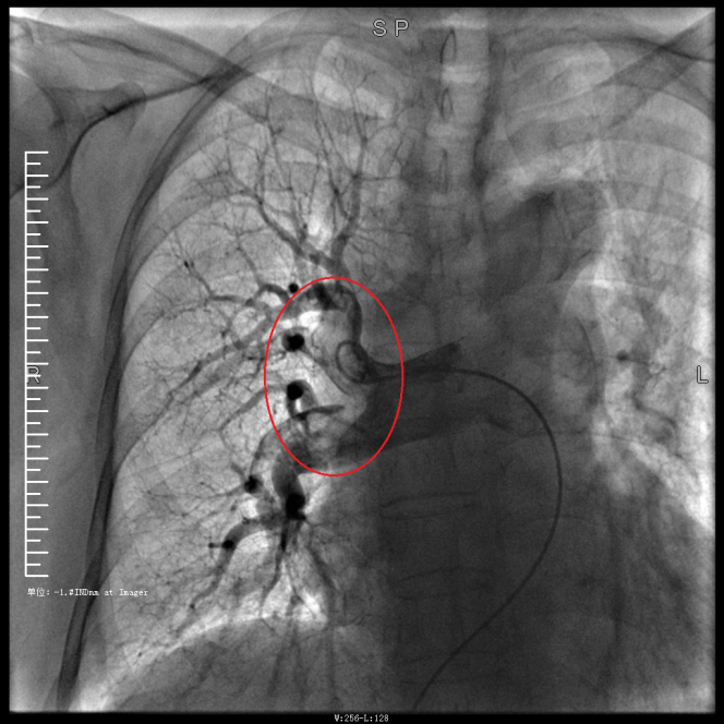
譚婆婆今年已經72歲了,因“突發意識障礙2次”到璧山區人民醫院神經內科治療。譚婆婆沒有基礎心臟病病史,但近段時間活動耐量明顯下降,稍做活動就出現呼吸困難。入院后查BNP及心臟彩超均未提示明顯異常,查D二聚體明顯升高,經心血管內科周波醫師會診后轉入科室繼續治療。在心血管內科主任、內科學(心血管病)博士于長青的指導下,周波醫師成功完成醫院首例“一站式”微創介入手術。在影像中,可以清晰地看到堵塞的血管經溶栓治療后,重新暢通無阻,流動起支撐生命的血液。
肺動脈造影技術是目前診斷肺動脈栓塞的“金標準”,在全程心電監護下,通過股靜脈或者頸內靜脈置入鞘管后,利用導絲引導,將造影導管送入肺動脈;可在左/右肺動脈主干及其左右分支內,分別進行肺動脈造影或選擇性肺動脈造影,存在栓塞的肺動脈血管在造影劑注入后即會顯示出充盈缺損、充盈緩慢、或者血管顯影模糊,嚴重栓塞的肺動脈血管甚至會出現血流截斷征象。
肺動脈導管局部置管溶栓術是通過肺動脈造影確定堵塞的肺動脈部位,然后導管尖端置于血栓處,將尿激酶、鏈激酶或重組組織型纖維蛋白溶酶原激活劑直接注入血栓處,新鮮血栓在足量的溶栓劑作用下溶解。肺動脈內局部用藥特別是小劑量時可減少出血并發癥。
該項技術對醫生手法及設備都有極高的要求,在導管通過右心室至主肺動脈時,極易出現室性心律失常等緊急狀況,同時患者溶栓后有突發腦出血、消化道大出血等風險,難度較大,不僅需要引導病人呼吸配合,還需配備專業搶救設施。
璧山區人民醫院成功開展該項技術,在整個渝西地區尚屬首例。該技術為不明原因的呼吸困難或不明原因暈厥患者患者提供了一項全新的診療手段,明確患者是否存在肺動脈血栓,同時可診斷是否有肺動脈壓力升高,是否行急診溶栓治療具有指導意義,對延長患者生命、改善患者預后、提高患者生活質量都起到了極大的幫助。
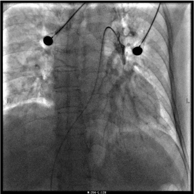
注明:第一張、第二張為術前圖像
第三章未標注圖像為術后圖像



撰稿/供圖:心血管內科 周波
編輯:于長青
校對:吳彥
審稿:陶銳