news
發布時間:2022-11-17
“啟動導管室,醫生已到位,穿好防護服。”11月14日凌晨1點21分,重慶醫科大學附屬璧山醫院(重慶市璧山區人民醫院)心血管內科副主任閆慶凱給介入導管室主管護師譚小利發去信息,準備開展急診介入手術。
這是一場“特殊”的手術。78歲的患者王大爺居住在璧山區大路街道,在家時突發胸痛并呈持續性脹痛。
凌晨1點07分,家人緊急驅車趕到重慶醫科大學附屬璧山醫院急診醫學科就診。但王大爺的核酸陰性證明已經超過了醫院規定的時限。“患者病情危重,立即安排檢查,同步進行核酸采集!” 急診醫學科值班醫生當機立斷,決定立刻收治患者。
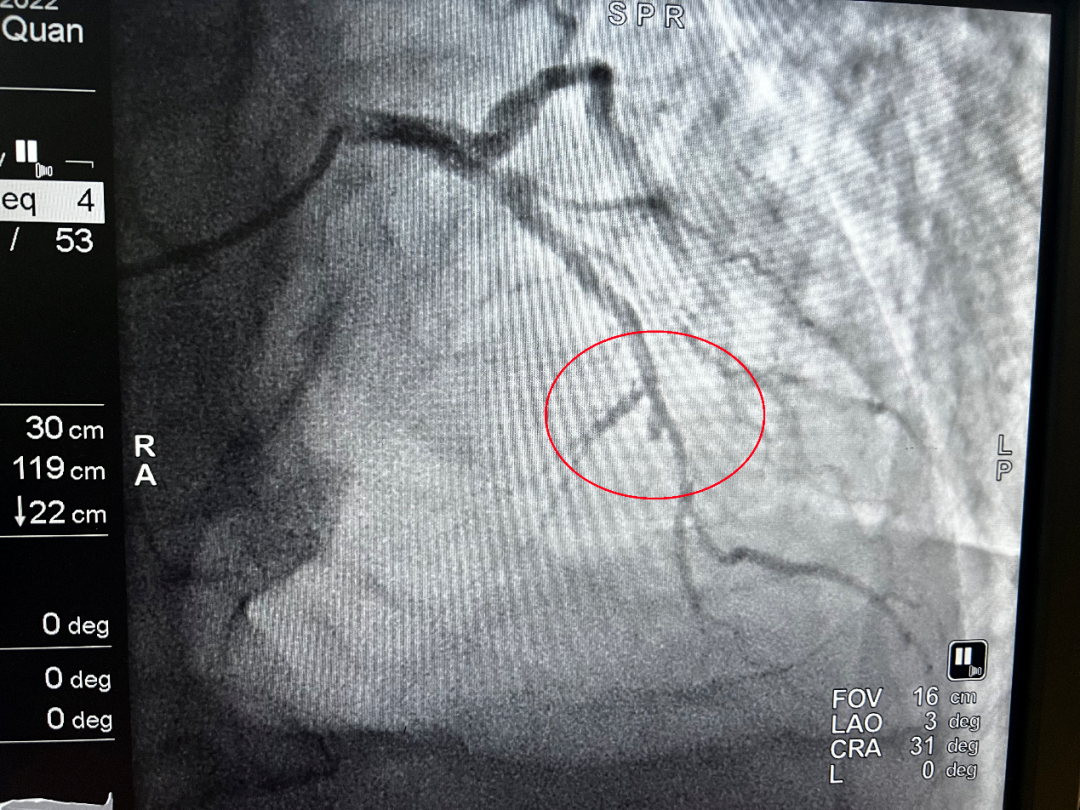
王大爺的胸痛癥狀持續不緩解,完善心電圖后提示急性ST段抬高型心肌梗死。“時間就是心肌、時間就是生命。”我院胸痛中心立即為王大爺啟動胸痛救治綠色通道,雖然患者核酸結果未出,但心血管內科醫護人員在做好防護的前提下,仍然為患者開展了緊急介入手術。

(介入前)

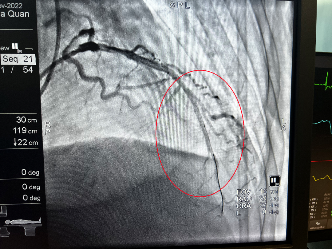
(介入后)
凌晨1點34分,導管室激活;1點38分,患者平車送入導管室;1點48分,穿刺成功;2點01分,導絲通過血管閉塞處……從王大爺首次醫療接觸到導絲通過,僅用時54分鐘。所有醫護人員繃緊神經,爭分奪秒,為患者開辟了一條脫離危險的綠色通道。術后,患者胸痛癥狀明顯緩解,轉危為安。
在璧山區疫情防控的關鍵階段,心血管內科在全力保證疫情防控任務的基礎上,依然堅持為區內急危重癥患者開展心臟介入手術。本輪疫情以來,科室開展冠脈介入9臺,起搏器植入2臺,將“疫情之下,生命至上”的理念放在首位,為璧山區人民群眾的心臟健康安全保駕護航。