news
發布時間:2022-11-24
面對當前嚴峻的疫情形勢,重慶醫科大學附屬璧山醫院(重慶市璧山區人民醫院)肝膽胰外科團隊快速響應、科學應對、精準管理,在對外開展有效疫情防控工作的同時,又對內有序地進行病人救治和重大四級手術的實施,切實保障了在院患者的醫療安全和醫療救治。
疫情期間醫療工作有條不紊
為降低疫情對住院患者診療的影響,確保醫療工作平穩有序,肝膽胰外科醫護人員根據疫情最新形勢,及時對住院患者和醫務人員做好流行病學調查和統計,劃分等級,嚴格落實各項疫情防控要求,并嚴格落實醫師查房、護理查房、病房交接班等管理制度,加強科內人員對新冠肺炎防控知識的培訓,最大限度兼顧疫情防控工作的進行,確保醫療安全和醫療質量。科室人員既要參與疫情防控工作,又要心系在院患者。每天及時查看患者病情,了解患者所想所需。切實做到站在患者的角度思考,朝著家屬的期望努力,將心比心,換患者的舒心、放心、安心。
疫情防控與醫療救治兩不誤
病例一
41歲的患者顏某,2月前在體檢檢查中發現肝占位性病變,但并未給予特殊治療,近日患者右上腹部隱痛不適頻繁發作,遂來我院就診。行腹部增強CT檢查后,診斷為肝血管瘤,肝膽胰外科陶銳主任醫師組織團隊謹慎地討論了顏女士的病情,經三維可視化重建技術將腫瘤行重建后,最終決定以腹腔鏡的形式切除血管瘤。

(圖示中紅色部分為肝血管瘤所在位置及體積)

手術由陶銳主任醫師主刀,帶領安代紅副主任醫師、張超超主治醫師,及麻醉護理團隊,經過3個多小時的緊密協作,順利將顏女士體內的血管瘤切除。
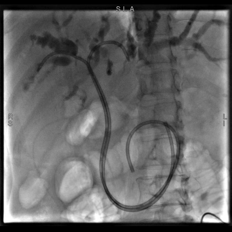
病例二
56歲的患者巫某,因“確診結腸癌伴肝轉移3年,皮膚鞏膜黃染1周”入院,完善檢查后,診斷為梗阻性黃疸、肝繼發惡性腫瘤。陶銳主任醫師組織團隊在討論了巫女士的病情后,決定實施ERCP+EST+ERBD術,術中主刀陶銳主任醫師根據患者的病情置入了鼻膽管改良塑料支架,患者術后引流通暢,梗阻情況明顯好轉。

(圖示為置入鼻膽管改良塑料支架)

病例三
60歲的患者文某,因“中上腹疼痛伴皮膚鞏膜黃染、尿黃20天”入院,完善檢查后,診斷為梗阻性黃疸待查,法特壺腹部惡性腫瘤:肝膽胰外科陶銳主任醫師組織團隊在討論了文先生的病情后,決定實施胰十二指腸切除術。

(切除后的病理組織)
手術由陶銳主任醫師主刀,帶領安代紅副主任醫師、張超超主治醫師,及麻醉護理團隊,經過團隊長達6個多小時的專業配合,手術取得圓滿成功。