news
發布時間:2024-07-31
近日,重慶醫科大學附屬璧山醫院(重慶市璧山區人民醫院)肝膽胰外科在陶銳副書記領導下,由安代紅副主任醫師帶領團隊成功實施了2例經皮經肝膽道支架植入術,成功解除了患者因腫瘤導致的梗阻性黃疸,延長了患者生存期,改善了患者生活質量。
病例1
69歲老年患者,因“中上腹疼痛1周”于我院肝膽胰外科住院治療,完善相關檢查后考慮診斷為:胰腺惡性腫瘤、梗阻性黃疸等,因腫瘤分期晚并出現遠處轉移,已無根治性手術指征,且因腫瘤侵犯十二指腸導致腸腔狹窄,無法實施ERCP+膽道支架植入術解除膽道梗阻,經過科室團隊充分評估,決定為患者行經皮經肝膽道支架植入術,手術順利,術后患者黃疸逐漸消退,為后續治療提供了堅實的保障。

術中影像
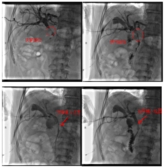
病例2
患者為72歲老年男性,因“右上腹疼痛2月,眼黃、尿黃1周”入院。入院后完善相關檢查考慮膽管中段惡性腫瘤、梗阻性黃疸,患者心肺功能極差,心血管內科、呼吸與危重癥醫學科及麻醉科會診評估后考慮患者無法耐受全身麻醉,肝膽胰外科團隊充分評估后決定為患者行經皮經肝膽道支架植入術,手術順利,術后患者黃疸逐漸消退,有效地改善了患者的生活質量,延長了患者的生存時間。

術中影像
科普小知識
1
什么是梗阻性黃疸?
人體的膽道大體呈樹狀分布,膽汁從樹枝(肝內膽管)流入樹干(肝門部膽管、膽總管),最終進入十二指腸內。膽道狹窄或閉塞會使膽汁從肝臟排出受阻,致使大量膽汁淤積在肝內,進而損傷肝細胞導致肝功能損害,甚至肝衰竭。
梗阻性黃疸在臨床上較為常見,多由各種原因引起的膽管狹窄和/或閉塞(膽道梗阻)所導致,而膽道梗阻最重要的原因之一是各種原發和繼發性惡性腫瘤。臨床上,很多惡性腫瘤致膽道梗阻的患者,因為膽道梗阻無法解除,短時間內肝功能損害進行性加重,進而出現肝功能衰竭,導致腫瘤治療延誤,生存時間嚴重縮短。
同時,由于大多數惡性膽道梗阻患者都處于腫瘤晚期,無法行根治性手術,所以解除膽道梗阻是延長患者壽命的重要手段。但由于肝門部解剖關系復雜,開腹膽腸吻合手術治療創傷巨大,住院時間長,花費昂貴,對年老體弱和基礎疾病多的患者更是極大的挑戰。
2
什么是PTCD?
經皮經肝膽道支架植入術是利用直徑約1.2mm的穿刺針,經皮膚穿刺進入肝內膽管,通過導絲和導管的引導,將膽道支架送入膽道梗阻的部位,然后釋放支架,擴張狹窄膽道,使狹窄或閉塞膽道恢復通暢的一種介入診療技術。
經皮經肝膽道支架植入術具有創傷小(僅在皮膚表面留下1.2mm左右的針孔)、住院時間短、治療費用低等優勢,尤其適用于年老體弱、心肺功能差不能耐受手術治療的梗阻性黃疸患者。該技術的成功開展補全了我院肝膽胰外科介入技術短板,切實提高了我院肝膽胰外科團隊的專業服務能力。肝膽胰外科將不斷更新和發展技術,為璧山乃至周邊地區的患者提供更好的診療服務。