news
發布時間:2025-06-17
近日,重慶醫科大學附屬璧山醫院(重慶市璧山區人民醫院)胃腸(肛腸、疝)外科聯合肝膽胰外科在多學科團隊的緊密協作下,成功為一位高齡且心功能極差的患者楊阿姨實施了腹腔巨大腫瘤切除術,這一手術的成功不僅彰顯了我院在復雜疑難病例診治方面的卓越實力,更體現了多學科協同作戰在現代醫學中的重要作用。
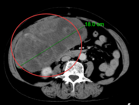
患者楊阿姨,因右下腹脹痛持續一月入院,經過詳細的腹部CT檢查,結果顯示其腹腔內存在一個巨大占位性病變,最大層面大小竟達到了驚人的18cm×10cm×14cm,腫瘤性質及來源尚不明確。面對如此龐大的腫瘤,手術難度可想而知。然而,楊阿姨的身體狀況更為復雜。術前檢查發現,她全心擴大,心臟彩超顯示三尖瓣大量反流,肺動脈高壓、二尖瓣大量反流,肺動脈瓣中量反流,并伴有心動過緩。這些心臟問題無疑為手術增添了巨大的風險。面對這樣心功能極差的患者,任何微小的失誤都可能導致不可挽回的后果。


CT報告結果
面對這一復雜病例,科室副主任(主持工作)陳鴻主任醫師迅速組織了一場多學科討論會,心血管內科、肝膽胰外科、腫瘤血液科、麻醉科、重癥醫學科、醫學影像科等科室的專家共同商討診療方案,經過討論最終達成共識,制定了一套周密詳盡的診療方案。

MDT多學科討論會
手術由胃腸(肛腸、疝)外科汪勇副主任醫師和肝膽胰外科周寶勇副主任醫師共同主刀,成功地將這個巨大的腫瘤完整切除。目前,楊阿姨的康復進程非常順利。

被切除下來的腫瘤標本
此次腹腔巨大腫瘤切除術的成功,不僅是我院胃腸(肛腸、疝)外科團隊的一次重大勝利,更是我院多學科協同作戰能力的生動體現。未來,我們將繼續秉承“以患者為中心”的服務理念,不斷探索和創新多學科協同作戰模式,為更多患者提供更加優質、高效的醫療服務。